Klicke hier, um "PERLWEISS White & Charcoal Zahncreme" auf Amazon.de zu suchen.Mit deinem Klick auf einen unserer Partnerlinks erhält gooloo.de eine kleine Provision für jeden erfolgreichen Verkauf. Für dich entstehen dadurch keine Mehrkosten. Durch diese Einnahmen betreiben wir z.B. unser Angebot und kaufen Testprodukte ein.

Dieses Produkt ist auf Amazon erhältlich. Mit deinem Kauf über unseren Link unterstützt du unsere Arbeit ohne Extrakosten.
In der Oktober-Ausgabe der Schön für mich-Box von Rossmann war die neue White & Charcoal Zahnpasta von PERLWEISS enthalten. Sie enthält mehrere Farbstoffe, die eine violette Färbung ermöglichen, wie man es z.B. aus Weiß- und Silbertonern für blondes Haar kennt; Aktivkohle dient als Peelingmittel und soll dafür sorgen, dass Verschmutzungen von den Zähnen gelöst werden.
Was mir hier sehr gut gefällt ist, dass man eine günstige Alternative zu den ganzen TikTok- und Instagram-Brands hergestellt hat und sich an denselben Prinzipien orientiert hat. Denn violette Pigmente tönen alles und können eine weiße Färbung aus nahezu allem heraus holen.
Die Zahnpasta sieht ein bisschen aus eine typische, violette Haarkur, nur mit einem ich sage mal cremigen weiß mit dabei. Also eine Art cremiges violett. Auf den Zähnen aufgetragen bildet sich ein sehr stark pigmentierter, cremiger Schaum, während die Aktivkohle Ablagerungen von den Zähnen löst.

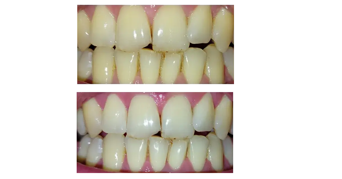
Vorher/Nachher nach ca. 5 Anwendungen der White & Charcoal Zahnpasta von PERLWEISS.
Während der ersten Anwendungen habe ich keinerlei Probleme gehabt, doch nach so drei, vier Tagen wurde die Empfindlichkeit meiner Zähne extrem verstärkt. Ich sage schon seit Ewig und drei Jahren, dass man keine groben Partikel verwenden sollte und wenn Peelingkörper, dann eher Silica oder Cellulose, anstelle von sehr hartem und auch nicht weich werdender Aktivkohle, die ihre Festigkeit die ganze Zeit über behält.
Denn das konstante reiben erhöht die Empfindlichkeit der Zähne immens stark und reizt zudem auch das Zahnfleisch. Obwohl man die Partikel nicht sieht und auch nicht sonderlich stark fühlt, reicht es aus, um einen extrem wichtigen Schutzmantel anzugreifen, der sich nicht wiederherstellen lässt. Abgeriebener Zahnschmelz kann nicht wiederhergestellt werden, sondern bleibt ein Leben lang geschädigt.
Gleichzeitig ist aber auch die reinigende Wirkung nicht gerade sensibel formuliert. Es sind extrem mächtige Tenside im Einsatz, die teilweise sogar in industriellen Reinigern eingesetzt werden. Die Kombination aus harschen Tensiden mit dem groben abreiben durch Aktivkohle sorgt dafür, dass man sehr schnell sehr viel Schutz verliert.
Dabei möchte ich PERLWEISS gar nicht bashen, aber man hat sich hier für eine viel zu extreme Formel entschieden. Violette Pigmente brauchen keine fein polierte Oberfläche; man hätte die violetten Pigmente auch ganz einfach mit etwas Cellulose anmischen können, um denselben Effekt zu erzielen, aber tausendfach milder zu sein.
Ein wichtiger Indikator für die Milde einer Zahnpasta ist der RDA-Wert. Doch den geben viele Marken gar nicht erst aus und das ist hier auch der Fall. PERLWEISS macht keine Angaben dazu, wie hoch der RDA-Wert ist. Doch basierend auf Zahnpasten mit ähnlichen Wirkstoffen wird der Wert sich auch um mindestens 120 herum tümmeln; der ideale Wert liegt aber unter 80.
Es fehlt mir hier auch ganz besonders an zahnschmelzsschützenden und remineralisierenden Wirkstoffen, wie z.B. Potassium Citrate oder Hydroxylapatit. Beide sind billig, großflächig verfügbar und gerade bei so harschen Zahnpasten echte Wundermittel, die negativen Effekten zuvor kommen.
Fazit
Dabei ist der Effekt eigentlich ganz gut. Die Zahnpasta zeigt schnell Ergebnisse; nach zwei bis drei Anwendungen lässt sich bereits eine extreme Aufhellung erkennen. An den Stellen, wo wenig Ablagerungen sind, ist nach zwei bis drei Anwendungen ein echtes Weiß zu entlocken (Zahnmitte), während an den typischen Ablagerungsstellen - in den Zwischenräumen und am unteren Zahnhals - mindestens eine Aufhellung des Gelbstichs zu sehen ist.
Jedoch: dieser Effekt ist vergänglich. Wer die Behandlung mit der Zahnpasta unterbricht, wird unweigerlich und in der Regel auch ziemlich schnell wieder zu den gleichen Verfärbungen kommen, denn violette Pigmente nutzen sich ab und waschen sich aus. Leichte Tenside können die Wirksamkeit bereits beeinträchtigen, weshalb eine konstante Anwendung erforderlich ist.
Da die Zahnpasta aber so extrem harsch ist, kann ich das nicht mit gutem Gewissen empfehlen. Und ich sage es immer wieder: einem Bleaching beim Zahnarzt und einer professionellen Zahnreinigng kann man schlichtweg nicht entkommen.
Man kann direkt danach mit Produkten nachhelfen, dass sich Verfärbungen gar nicht erst wieder bilden, aber bereits bestehende Verunreinigungen und Verfärbungen mit handelsüblichen Zahnpasten zu entfernen, ist nahezu unmöglich.
Obwohl mir das Prinzip gefällt ist mir die Formel einfach viel zu aggressiv und scharf. Es bedarf hier dringend einer Reformulierung, in der vor allem auf den Zahnschmelzschutz geachtet wird. Und gerade empfindliche Zähne sollten weit weg von dieser Zahnpasta bleiben.
Inhaltsstoffe
Hydrogenated Starch Hydrolysate, Aqua, Hydrated Silica, Glycerin, Alumina, Sodium Dodecylbenzenesulfonate, PEG-12, Aroma, Charcoal Powder, Pentasodium Triphosphate, Pentapotassium Triphosphate, Cellulose Gum, Sodium Fluoride, Sodium Saccharin, Ammonium Hydroxide, Maltodextrin, Limonene, CI 42090, CI 45430, CI75470, CI 77491. Enthält Natriumfluorid (1.300 ppmF).
Wichtig: Die Inhaltsstoffe entsprechen den Angaben auf dem vorliegenden Testprodukt. Inhaltsstoffe auf der Produktverpackung sind ausschlaggebend. Bitte beachte auch unsere Allgemeinen Hinweise. Du findest hilfreiche Informationen rund um die Inhaltsstoffe in unserem INCI Glossar.
Empfehlungen; Haut- und Haartypen
Alle Hauttypen.
Wichtige Merkmale und Hinweise
4008890009154
Produkttransparenz
Inhalt: 75ml
Hergestellt in: Vereinigtes Königreich
Hersteller: Murnauer Markenvertrieb GmbH
Dieses Produkt wurde gesponsert: Nein, wir haben das Produkt selbst gekauft.
Verpackungsmaterial
Der Hersteller hat keine Angaben zur Verpackung gemacht.
Recyclinganteil
Unbekannt.
Bitte beachte unsere Nutzungsbedingungen und Datenschutzbedingungen. Solltest Du Probleme beim verfassen von Kommentaren haben, melde uns den Fehler bitte per Bug Report.